What is cosmetic dentistry?
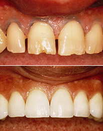
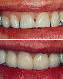
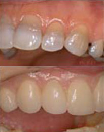
Cosmetic dentistry provides you with a dazzling smile and a healthy glow. Dr. Farsirotu and his team can correct spaces between teeth, wear, discoloration, aging smiles, and much more. Our centre offers full and partial reconstruction, smile design, as well as as veneers, crowns, dentures, and more. We’ll help you create a smile that suits your face.
Thousands of patients have rediscovered a youthful smile – whether it be a simple adjustment or a complete transformation. We offer customized solutions to help you smile again.
